Bei Ihrer Vorsorgeuntersuchung wird neben dem Mammographie-Score als zweite 'Kennzahl' die Brustdichte auf einer Skala von 1 bis 4 bewertet. Dabei handelt es sich um das Verhältnis zwischen Drüsengewebe, Bindegewebe und Fettgewebe in der Brust - eine Relation, welche bei jeder Frau individuell angelegt und verteilt ist.
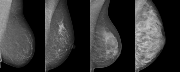
Die vier Dichtegrade der Brust in der Mammographie
Das folgende Bild zeigt typische Beispiele für die vier Brustdichtegrade in der Mammographie:

Die dichten, (in der Mammographie hellen) Bezirke entsprechen dabei Brustdrüsengewebe, während die dunklen, 'transparenten' Bezirke Fettgewebe entsprechen, da Fettgewebe für Röntgenstrahlen wesentlich 'durchsichtiger' ist als Drüsengewebe.
Die Brustdichte ist ein mammographisches Merkmal und hat keinen Krankheitswert! Für Ihre Gesundheit macht es also keinen Unterschied, welche Dichte Ihre Brust in der Mammographie hat.
Warum ist die Brustdichte wichtig?
Die Brustdichte beeinflusst die Beurteilbarkeit Ihrer Mammographie. Krankhafte Veränderungen können durch eine dichte Brust überlagert werden und nur schwer erkennbar sein, oder unter Umständen sogar völlig maskiert werden. Deshalb wird im Österreichischen Brustvorsorgeprogramm routinemäßig ab einer Brustdichte 3 zusätzlich zur Mammographie eine Ultraschalluntersuchung durchgeführt.
Kann sich die Brustdichte ändern?
Die Brustdichte kann sich im Laufe der Zeit verändern, in der Regel nimmt sie mit dem zunehmendem Alter ab. Es gibt aber auch Frauen, deren Brustdichte Zeit ihres Lebens konstant bleibt (siehe auch Was ist der Brusttyp?). Unterschiedliche Mammographiegeräte oder Aufnahmetechniken können die Brustdichte beeinflussen, und nicht zuletzt der subjektive Eindruck der Radiologin oder des Radiologen. Auch Brustoperationen (sowohl kosmetische als auch therapeutische) beeinflussen häufig die Dichte der Brust.
